Trächtigkeitskalender A-Wurf vom Lavendelweiher
Der Trächtigkeitskalender basiert auf dem Programm von Welpen.de. Er wird von uns nach und nach individuell angepasst und mit eigenen Einträgen ergänzt. |
Die Hündin sollte normal gefüttert und normal bewegt werden. Es dürfen keine Insektizide benutzt oder Impfungen mit Lebendstoffen verabreicht werden. ==> Da wir sowieso keine Insektizide verwenden, fällt uns dies nicht schwer. Wir hoffen jetzt mal, dass die Hundehochzeit dieses Mal Früchte tragen wird und unser Trächtigkeitskalender 2.0 nicht wieder nach dem Ultraschalltermin in der 4. Woche eingestellt werden muss. Nouris Gewicht betrug zum Zeitpunkt der Progesterontests 12,2 kg und somit etwas mehr als ihr übliches Gewicht (ca. 11,7 kg), da Nouri sich um die Läufigkeit herum immer eine kleine Reserve anfuttert.
Erster Deckungstag. Sperma wandert außerhalb der Gebärmutterschleimhaut. Um die Chancen einer Befruchtung zu erhöhen, sollte der Deckakt innerhalb von 48 Stunden nach dem ersten Deckakt wiederholt werden. ==> Am 22.08.2023 waren wir mit Nouri noch einmal bei Ove zum Nachdecken. Die Beiden waren sich schnell einig. Den Bericht zur Hochzeitsreise ins Rheinland finden sich auf einer eigenen Unterseite. Alle Infos zu Ove finden sich bei seiner Deckrüdenvorstellung.
Sperma wandert zu den Eileitern. Die Spermien bleiben in den weiblichen Geschlechtsorganen eine Zeitlang befruchtungsfähig. Das Sperma der Rüden kann in den Fortpflanzungsorganen der Hündin etwa 5-7 Tage überleben.
Sperma erreicht die Eileiter, in denen sich reife Eizellen befinden.
Befruchtung der Eizellen (in den Eileitern).
Die befruchteten Eizellen wandern in den Gebärmutterhals.
2. Woche
Pflege und Haltung der Hündin wie in Woche 1. ==> Nun ist schon die erste Woche um. Ob wohl dieses Mal kleine Welpenherzen in Nouri schlagen werden? Genaueres wissen wir erst nach dem Ultraschall (ca. 28 Tage nach dem Decken).
|
Die Eizellen entwickeln sich zu Blastozysten.
==> Nouri verhält sich erwartungsgemäß wie immer in den letzten Tagen ihrer Läufigkeit. Sie ist dieses Mal allerdings besonders zickig zu einigen Hündinnen und Kastraten aus der Nachbarschaft. Im Fressverhalten ist Nouri etwas selektiver. Ansonsten ist sie gut drauf. Es geht ihr prima, sie ist munter, lustig und aktiv. Wir haben schöne Bilder in der Heide machen können.
Die Embryos erreichen die Gebärmutter.
==> Nun ist auch die zweite Woche fast schon rum. Nouri geht es prima. Der Appetit ist wieder etwas größer und sie wird auch wieder etwas gelassener bei Hundebegegnungen. Ansonsten üben wir uns in Geduld und harren der Dinge, die da kommen mögen - oder auch nicht... |
3. Woche Die Hündin leidet möglicherweise unter morgendlicher Übelkeit aufgrund der hormonellen Umstellung oder Spannungen in der Gebärmutter. Füttern Sie kleine Mahlzeiten mehrmals am Tag, um gegen die morgendliche Übelkeit zu helfen. Falls die morgendliche Übelkeit anhält, kann der Tierarzt ein Mittel verschreiben, um die Gebärmutter zu beruhigen. |
Manche Hündinnen fressen ab dem 20. Tag für einige Tage gar nichts oder zumindest sehr wenig. In der Regel pegelt sich ihr Fressverhalten danach wieder ein. Viele Hündinnen sind jetzt besonders anhänglich. ==> Das Fressverhalten ist momentan ziemlich reduziert. BARF wird seit 3 Tagen verschmäht und von dem anderen Futter wird nach 2 Tagen Heißhunger deutlich weniger genommen. Merkliche Anzeichen für Übelkeit gibt es nicht. |
Am 19. Tag setzen sich die Keimbläschen (sog. Blastocyten) in der Gebärmutterwand fest. Diese formen embryonale Bläschen. Ab dem 21. Tag sondern viele Hündinnen zähflüssigen, klaren Schleim ab. Das ist das eindeutigste Zeichen, dass der Deckakt geklappt hat.
==> Heute (12.09.) ist der 22 Tag. Die dritte Woche verlief ziemlich normal für die Zeit nach der Läufigkeit. Nouri frisst seit 2 Tagen weniger und mag momentan nicht ganz so lange spazieren gehen. Aber es ist mit 28 - 30 Grad diese Woche auch sehr heiß gewesen. Sie ist etwas schläfriger und sehr verschmust. Eine Schleimabsondereung habe ich noch nicht feststellen können. Also heißt es weiter abwarten.
4. Woche
Am 22. Tag sind die Embryonen sichtbar. Der Herzschlag kann zur Diagnose der Trächtigkeit herangezogen werden. Anstrengende Aktivitäten sind jetzt zu vermeiden.Die Proteinzufuhr im Futter kann erhöht werden. Hierfür eignet sich sehr gut die Gabe von Welpenfutter. Zu diesem Zeitpunkt kann mit einer Ultraschalluntersuchung der Zustand der Trächtigkeit festgestellt werden. Besprechen Sie mögliche Risiken einer solchen Untersuchung mit dem Tierarzt.
|
So 10.09.2023 - So 17.09.2023
Die Augen und die Nervenstränge im Rückenmark werden gebildet. Die Organbildung beginnt. In dem derzeitigen Zustand sind die Embryonen sehr stark defektgefährdet. Die Entwicklung der Zitzen beginnt.
Fr 15.09.2023 - Di 19.09.2023
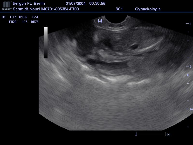
Dies ist der beste Zeitpunkt, um die Trächtigkeit anhand des Herzschlags zu diagnostizieren. Die Embroynen sind etwa walnussgroß und sind gleichmäßig im Uterus verteilt. | ![]() |
==> 15.09.2023: Nun haben wir es sozusagen "Weiß auf Schwarz"....Nouri ist trächtig!!!! Auf dem Ultraschall waren 7 - 8 Embryonen zu sehen. Falls alles ohne Resorptionen oder Komplikationen verläuft, erwarten wir somit einen größeren Wurf. |
Man konnte sogar schon einige kleine Herzchen schlagen sehen - ein bewegender Moment. Laut Vermessung der Fruchtblasen sind wir heute am 23. Trächtigkeitstag. Das heißt, dass die Befruchtung am 2. Deckungstag stattgefunden hat (22.08.2023). |
==> 16.09.2023 - 18.09.2023: Unserer süßen Nouri war dann trächtigkeitsbedingt anscheinend doch etwas übel. Die Arme mochte so gut wie gar nichts mehr fressen und hatte im wahrsten Sinne des Wortes einen "Durchhänger". Aber die Hunde, die am Gartenzaun vorbeilaufen, wollte sie dann trotzdem noch genauestens im Auge behalten ;-) Insoweit dann also doch alles ziemlich normal. |
5. Woche
Die Hündin hört auf, die Beine anzuziehen, weil das Gewicht ansteigt und die Welpen sich drehen. Das Anschwellen der weiblichen Scham wird merkbarer. Bitte achten Sie auf das Gewicht der Hündin und überfüttern Sie nicht. Die Herzschlag ist aufgrund der ansteigenden Flüssigkeit in der Gebärmutter nicht mehr länger als Diagnosemethode nutzbar.
Zehen, Barthaare und Krallen beginnen sich zu entwickeln.
19.09.2023 - 20.09.2023: Es geht wieder bergauf mit dem Appetit und die Übelkeit schwindet. So langsam normalisiert sich das Fressverhalten wieder und auch draußen ist Nouri fast wieder die Alte. Was mir allerdings auffällt ist, dass sie etwas reduzierter in ihren Bewegungen ist. Nicht ganz so wild wie sonst, sondern sie läuft manchmal "wie auf rohen Eiern". Es wirkt, als wollte sie instinktiv die Winzlinge in sich schützen. |
22.09.2023, (Tag 30): Heute war Gewichtskontrolle angesagt. Die Waage wies 12,2 kg aus. Vor genau einer Woche waren es noch 11,8 kg. Das war allerdings nach der Mäkelphase. Somit hat Nouri in dieser einen Woche 400 g zugelegt. Sie wurde in der Zeit ganz normal gefüttert und hat noch nicht mehr bekommen als sonst. Auch figürlich hat sie sich verändert und ist etwas breiter geworden. |
Nouri frisst mittlerweile wieder ihr gewohntes Futter. Vor allem BARF mag sie jetzt besonders gerne. Sie bekommt besondere Zusätze für die Trächtigkeit (u.a. PerNaturam "Natal") mit Blütenpollen, Seealgen, Folsäure und vielen anderen guten Zusätzen. Die Fressmanieren lassen momentan allerdings etwas zu wünschen übrig. Auf dem nebenstehenden Bild hat sie nämlich einfach einen Teil der mit Innereien kleingematschten Kartoffelstückchen auf dem Boden verteilt. Wir geben nun immer ein wenig Kohlehydrate (Haferflocken, Kartoffeln, Reis, Nudeln) mit in die Futterportionen. |
So 24.09.2023 Die Ausbildung der Organe ist abgeschlossen.Die Föten sehen nun aus wie Hunde. Kopf und Rumpf sind unterscheidbar. Das Geschlecht ist bestimmbar. Die Fellfarbe beginnt sich zu entwickeln. Der Herzschlag der Föten ist per Stetoskop hörbar. Die Zitzen der Hündin werden dunkler und schwellen an.
25.09.2023 (Tag 33): Nouri geht es prima, sie wälzt sich gerne im Garten und sonnt sich auf der Terrasse. Heute Mittag gab es ein rohes Eigelb mit Lachsöl. |
6. Woche
Machen Sie die Hündin mit der Welpenbox vertraut. Lassen Sie sie dort schlafen. Erhöhen Sie die Anzahl der Mahlzeiten und behalten Sie ihr Gewicht im Auge.
26.09.2023, (Tag 34): Da wir heute im Futterladen waren, haben wir Nouri dort direkt wieder gewogen. Nun waren es bereits 12,55 kg, die Nouri auf die Waage brachte. Also eine Gewichtszunahme von 350 g in 4 Tagen. Und das, obwohl wir darauf achten, die Futtermenge bisher nur auf leicht erhöhtem Niveau zu halten. Mittlerweile kann man den Babybauch auch ganz deutlich sehen. Vor allem, wenn Nouri ganz platt auf der Seite liegt. |
Mit dem nebenstehenden Bild sind wir in die 6. Woche gestartet. Der Babybauch lässt sich nicht mehr verleugnen. Man sieht ihn am ehesten, wenn Nouri ganz platt auf der Seite liegt. Wenn sie steht und man Nouri von oben betrachtet, kann man noch die Taille erkennen. Wir laufen täglich weiterhin unsere Runden, damit Nouri fit bleibt für die anstrengende Geburt. Allerdings geht es etwas gemächlicher dabei zu. |
29.09.2023, (Tag 37): Nun hat Nouri die 13 kg Marke übersprungen und wiegt 13,05 kg - also noch einmal 500 g mehr als vor 3 Tagen. Ausgehend vom Ursprungsgewicht (11,8 kg) hat Nouri somit 1,25 kg zugenommen. Mit ihrem normalen Futter mäkelt sie momentan etwas. Auch dem BARF steht sie jetzt etwas skeptisch gegenüber. Sie hat probeweise ein Händchen voll Welpenfutter (Royal Canin Starter) von mir bekommen und so lustvoll verspeist, dass ich selbst ganz überrascht war. Was ebenfalls sehr gerne genommen wird, ist rohes Eigelb - aber das kann man ja nicht jeden Tag geben. Also wurschteln wir uns so durch mit dem Futter. | ![]() Außerdem steht unser Flur jetzt voll mit Paketen, die hier nach und nach eintrudeln. Wurfbox, Welpenauslauf, Hygieneeinlagen, Wurfuntensilien. Alles will besorgt werden. |
30.09.2023, (Tag 38): Nouri geht es nach wie vor sehr gut. Sie genießt ihre Streicheleinheiten und trottet auf den Spaziergängen brav mit. Hundekontakte meidet sie momentan eher und bleibt unterwegs immer dicht bei mir. Ihr Babybuch wächst zusehends. Auf unserer Treppe wurde er dann lässig hängen gelassen. Anscheinend war´s bequem ;-) |
01.10.2023, (Tag 39): Frauchen hat sich handwerklich betätigt und die Wurfkiste aufgebaut. Nouri hat sich das Ganze vom bequemen Bett aus angesehen. Die Wurfkiste misst 120 x 80 cm, hat einen Welpenschutz (gegen Erdrücken) und einen Holzboden. Wir haben sie in Bayern bei Welpen-Wurfkiste.de bestellt und die Front als Sonderanfertigung so umfunktionieren lassen, dass man diese komplett aushängen kann, damit die Wurfkiste bequem gesäubert werden kann. Es war uns vor allem auch sehr wichtig, dass es unbehandeltes Holz aus Deutschland ohne Schadstoffe ist. Auch die Ecken und Seitenteile sind sauber abgeschliffen und ohne harte Kanten. | ![]() Die Qualität ist sehr gut. Die Wurfkiste war schnell bei uns und recht einfach aufzubauen. Auch der Kontakt zum Hersteller war äußerst nett und zuvorkommend. Wir können diesen Anbieter somit aus voller Überzeugung weiter empfehlen. |
7. Woche
Die Hündin sollte jetzt nicht mehr mit anderen Hunden rauhe Spiele spielen oder springen. Per Röntgenaufnahme lassen sich Anzahl und Größe der Hündchen bestimmen. Die Hündin sollte nur dann geröntgt werden, wenn Schwangerschaftsprobleme auftauchen oder zu diesem Zeitpunkt noch immer unsicher ist, ob sie tatsächlich Welpen bekommt. (z.B. Verdacht auf Einfrüchtigkeit) Ansonsten stellt das Röntgen eine unnötige Belastung dar. Ab der 7. Woche messen Sie der Hündin einmal täglich rektal die Temperatur und notieren diese Werte.
02.10.2023, (Tag 40): Nouri wiegt jetzt 13,5 kg (+450 g in 3 Tagen und 1,7 kg mehr als vor der Trächtigkeit). Sie frisst momentan am Liebsten das Welpenfutter und bekommt ihre sonstigen täglichen Rationen auf 3 Mahlzeiten verteilt (mittags als kleine Zwischenmahlzeit). Unterwegs ist sie für kleine Tricks zu haben und freut sich über Belohnungen. |
Seit ca. 3 Tagen verliert Nouri deutlich mehr Haare als sonst, was mit der Hormonumstellung zusammenhängt und vermutlich auch der erste Vorbote dafür ist, dass bald die Bauchhaare am Gesäuge ausfallen. Nouri genießt es, dass ich sie mit einem weichen Gummistriegel bürste und das tote Fell entferne. Schließlich will auch eine trächtige Kromi-Dame gepflegt aussehen ;-) |
03.10.2023, (Tag 41): Wir haben die Wurfkiste kuschelig eingerichtet und mit Lavendelbildern verziert. Nouri nimmt die Wurfbox bereits jetzt gut an und kann darin sichtlich entspannen. Das ist für uns schon einmal ein gutes Gefühl, denn unsere Nouri soll sich wohl fühlen. |
Mi 04.10.2023
Die Knochen der Kleinen verstärken sich. Die Welpen können nun leicht unter der Bauchdecke ertastet jedoch schlecht gezählt werden. Die Haare am Bauch der Hündin fallen aus. 06.10.2023, (Tag 44): Nouri wiegt jetzt 13,8 kg und somit 2 kg mehr als vor der Trächtigkeit. Seit 2 Tagen bekommt sie eine Kräutermischung von PerNaturam (Natalen) mit ins Futter, welche die Geburt erleichtern soll. Enthalten sind u.a. Himbeerblätter, Frauenmantel und Weißdorn. Auch das Komplement Natal mit Blütenpollen, Hagebuttenschalen, Folsäure und Seealgen bekommt sie weiterhin. Allerdings ist ihr Fressverhalten momentan etwas "exklusiv" und was heute noch geschmeckt hat, schmeckt am nächsten Tag nicht mehr unbedingt. | 08.10.2023, (Tag 46): Weil Nouri mittlerweile recht vorsichtig auf unseren Gassi-Gängen unterwegs ist und Kontakte mit aufdringlichen Hunden vermeiden möchte, versuchen wir auf Routen auszuweichen, wo weniger Hunde unterwegs sind. Leider trifft man aber auch immer wieder einmal auf rücksichtslose Hundebesitzer, die ihre Hunde trotz der Bitte, sie anzuleinen oder zumindest zu sich zu rufen, nicht zu sich nehmen. Ich habe dann gesagt bekommen: "Den brauche ich jetzt nicht zu rufen, der kommt sowieso nicht". Auf meinen Einwand, dass meine Hündin trächtig ist, nachdem Nouri schon leicht hysterisch bellte, kam die Antwort "Wozu muss man denn auch noch mehr Welpen in die Welt setzen."- Ja, auch solche Hundehalter gibt es leider immer wieder. |
8. Woche
Die Hündin hat weniger Hunger, was durch den Platzmangel im Bauch verursacht wird. Unterrichten Sie Ihren Tierarzt über den zu erwartenden Geburtszeitpunkt und erörtern Sie mit ihm mögliche Probleme. Stellen Sie die Utensilien für die Geburt zusammen und bereiten Sie alles vor.
==> Das mit dem reduzierten Hunger haben wir schon Mitte der 7. Woche festgestellt. Was außerhalb der regulären Mahlzeiten momentan allerdings noch recht gut geht, ist die Verabreichung von hochwertigem Trockenfutter auf den Gassigängen. Nouri freut sich nämlich immer noch, wenn sie Tricks vorführen kann und dafür eine Belohnung erhält.
Auch die Utensilien für die Geburt sind fast alle schon besorgt. Außerdem haben wir eine tolle Kiste beim Zwinger von der Streusandbüchse abgeholt, die von Kathi Lange (Zwinger vom langen Fuchsbau) zusammengestellt wurde und viele homöopathische Globuli und andere nützliche Dinge enthält. Sogar ein Stethoskop ist dabei. Diese Kiste wird hier in Berlin-Brandenburg unter den befreundeten Züchtern weiter gereicht und jeweils auch wieder nachgefüllt. Das ist echt eine tolle Sache :-)
Mo 09.10.2023 (Tag 47)
Füttern Sie mehrere kleinere Mahlzeiten am Tag, da der Bauch beengt ist. Die Bewegung der Welpen im Mutterleib ist leicht erkennbar, wenn man die flache Hand vorsichtig auf den Bauch der Hündin legt. Sie muss dazu völlig entspannt sein. ==> Gestern (Tag 46) haben wir beim Streicheln über Nouris Bauch ein leichtes "Klopfen" gespürt. Erste zaghafte Welpenbewegungen, die man von außen spüren kann. |
Die Hündin verbringt sehr viel mehr Zeit mit der eigenen Körperpflege. Die Zitzen schwellen weiter an. Die Hündin wird unruhiger und sucht einen geeigneten Platz fürs Werfen. Sorgen Sie dafür, dass sie den Platz fürs Werfen so angenehm wie möglich vorfindet. Je nach Rasse kann man kleine Handtücher oder Waschlappen auf die Unterlage der Wurfkiste legen, um der Hündin Material für ihren "Nestbau" zu geben.
10.10.2023 (Tag 48): Wir waren heute noch einmal zum Ultraschall in der Tierklinik für Fortpflanzung in Berlin-Düppel. Die Ärzte dort sind großartig und super nett. Wir haben ein "Sit-in" auf dem Fußboden gemacht und Nouri dort im Stehen geschallt. Man hat kleine Köpfchen, Beinchen, Brustkörbe und Wirbelsäulen gesehen. Die Welpen lagen dicht an dicht und Nouris Bauch ist ziemlich voll, was auch das erschwerte Fressverhalten erklärt. Alle Welpen waren sehr vital und haben sich munter bewegt. Zählen konnte man sie allerdings nicht mehr, dafür waren sie schon zu groß. Die Herzfrequenzen waren sehr gut und genau so, wie sie sein sollten. 2 kleine Köpfchen wurden vermessen. Der eine betrug 17,4 mm und der andere 20 mm. Mit diesen Daten konnte man den voraussichtlichen Tag der Geburt auf den 23.10.2023 (Tag 61 der Trächtigkeit) ausrechnen - aber hier hat die Natur bekanntermaßen ihre eigenen Vorstellungen und wir lassen uns überraschen, wann es dann tatsächlich soweit sein wird. Nouri wiegt jetzt 14,2 kg und somit 2,4 kg mehr als vor der Trächtigkeit. |
Säubern Sie Bauch und Schambereich mit warmem Wasser. Kürzen Sie das Haar rund um die Zitzen, um den Welpen den Zugang zu erleichtern.
17.10.2023 ==> Es ist unglaublich, aber die Zeit rast. Beim Hund läuft die ganze Zeit der Trächtigkeit sozusagen im Schnelldurchlauf ab....Zumindest, wenn man es mit uns Menschen vergleicht. Nun starten wir schon in die letzte Woche. Gestern am 16.10. (Tag 54) haben wir Nouri gewogen und kamen auf 14,6 kg und damit 2,8 kg mehr als vor Beginn der Trächtigkeit. |
Die Spaziergänge laufen mittlerweile etwas gemächlicher ab. Auch die Runden sind etwas verkürzt. Wir brauchen insgesamt länger für eine kürzere Wegstrecke. Aber das ist OK - Immerhin gehen wir noch 4 Mal am Tag Gassi und je nachdem wann und wo wir unterwegs sind, geht es eben schneller oder weniger schnell. Aber wehe wenn Nouri zuhause ist und vor der Tür einer von den Hunden bellt, die sie nicht mag, dann ist sie schnell wie der Wind die Treppe hoch zu unserem bodentiefen Fenster im Obergeschoss und pöpelt zurück. |
Nouris Bauch ist mittlerweile recht ordentlich. Er hängt schon ziemlich tief runter und schränkt sie auch in ihrer Körperpflege ein, da sie nicht mehr ohne weiteres an alle Stellen dran kommt. Auch die Welpenbewegungen spürt man jetzt sehr deutlich, wenn Nouri entspannt auf der Seite liegt. Dann klopft es an allen möglichen Stellen von innen nach außen. Das ist schon sehr süß und faszinierend. Das Fressverhalten ist recht eingeschränkt. In Scheiben geschnittene rohe Möhre stand als "Nachtisch" in den letzten Tagen hoch im Kurs. Vielleicht wegen des hohen Zuckergehalts und dem Vitamin A - wer weiß. Wir verlassen uns da auf Nouris Instinkt. Heute Abend gab es rosa gebratene Hähnchenmägen mit selbstgemachtem Kartoffelpürree und Kräuterzusätzen. Das fand Nouri super. Wenngleich man den Eindruck gewinnen konnte, dass sie es ohne Kräuterzusätze besser gefunden hätte. |
Frauchen ist letztes Wochenende am 52. Trächtigkeitstag in unser Welpenzimmer umgezogen, in dem wir es uns für die ersten 4 Wochen nach der Geburt kuschelig machen werden. In den letzten Tagen waren wir auch noch viel mit Wäschewaschen und den letzten Einkäufen beschäftigt. Ein wenig ärgerlich war, dass wir einiges bei der Versandapotheke "Aponeo" bestellt hatten und sämtliche Waren nicht pünktlich verschickt worden sind, so dass Frauchen die Lieferung storniert hat und sich all diese Sache woanders zusammenkaufen musste. Dabei war es das erste Mal, dass Frauchen überhaupt etwas in einer Versandapotheke bestellt hat. Soviel dazu!
Nun ist aber alles da und wir sind recht gut vorbereitet. Hoffen wir zumindest mal. Auch das Gesäuge nimmt jetzt von Tag zu Tag größere Ausmaße an und das Fell am Bauch ist mittlerweile auch ziemlich reduziert.
9. Woche
Möglicherweise hat die Hündin keine Appetit mehr, wenn die Zeit der Niederkunft naht.
Die Hündin wird ruhelos und beginnt 'Nestbau' Verhalten zu zeigen.
Messen Sie nun morgens und abends die Temperatur der Hündin. Die normale Temperatur schwankt je nach Rasse und Alter der Hündin zwischen 37,5 und 39,4 Grad Celsius. Gerade wegen der großen Schwankungsbreite ist es wichtig, die normale Körpertemperatur zu kennen (Messungen 7. Woche). Wenn die Temparatur um ca. 1,5 bis 2 Grad Celsius fällt, werden die Welpen innerhalb der nächsten 6- 24 Stunden geboren.
==> Sehr gerne hätte ich mit dieser Temperaturmethode gearbeitet. Aber Nouri hat sehr deutlich mit rumhampeln und gekrümmtem Rücken gezeigt, dass ihr das äußerst unangenehm ist. Also habe ich es wieder gelassen, um sie nicht allzu sehr zu stressen und harre nun einfach der Dinge, die dort kommen mögen. Seit dem 56. Tag sind die Welpen bei einer Geburt überlebensfähig. Sozusagen ein kleiner Meilenstein :-) |
Seit der Nacht zu Donnerstag (57. Trächtigkeitstag) tigert sie nachts immer wieder mal unruhig umher. Seitdem ist auch der Bauch abgesenkt und die Flanken wirken eingefallen, was ein Zeichen für Senkwehen ist. Nouri wollte an diesen Tagen auch lieber wieder im Erdgeschoss an ihrem angestammten Platz in unserem Schlafzimmer schlafen. In den letzten 3 Nächten wollte sie jeweils zwischen 2 und 3 Uhr nachts in den Garten um sich zu lösen. Auf dem Schreibtisch in unserem Welpenzimmer schaut es fast aus, wie in einer Apotheke ;-) Zumindest ist schon einmal alles bereit gestellt für die Geburt. |
Sa 21.10.2023
Die Hündin wirkt möglicherweise unglücklich, ruhelos, läuft immer hin und her und fühlt sich offensichtlich unwohl. Es kann sein, dass sich weisse Scheidenflüssigkeit absondert.
Heute ist der 59. Tag. Nouri frisst seit gestern sehr wenig bis gar nichts mehr. Sie wiegt 15,2 kg und damit 3,4 kg mehr als vor der Trächtigkeit. Die Welpenbewegungen kann man nun mit bloßem Auge erkennen. Wir haben es gefilmt. Seit heute zeigt Nouri auch Nestbauverhalten.
Der vorausberechnete Tag der Geburt. Viele Hündinnen werfen zwischen dem 58. und 63. Tag. Einige lassen sich auch bis zum 66. Tag Zeit. Beobachten Sie Ihre Hündin vor allem bei Verspätungen sehr genau. Übelriechender, dunkler Ausfluss ist ein Alarmzeichen, sofort den Tierarzt aufzusuchen. Spätestens am 66. Tag muss ohnehin ein Tierarzt konsultiert werden. Es könnten Geburtsprobleme wie zu große oder abgestorbene Welpen vorliegen. Dann kann nur schnelles Handeln das Leben von Mutter und Welpen retten.
Sa 21.10.2023, 22:50 Uhr bis Sonntag 22.10.2023, 1:30 Uhr:
Sie sind da!!!!!!!!! Nach einer völlig unkomplizierten und recht schnellen Geburt gebar Nouri ihre 8 Welpen. Wir freuen uns über 5 Jungs und 3 Mädels. Damit schließen wir das Trächtigkeitstagebuch und werden in Kürze auf unserer neuen Unterseite zum A-Wurf berichten.








































